Skip Menu
Continue
Call
Today
for a Free Consultation
Home
About Us
Our Office
New Patients
Smile Gallery
Dental Videos
Testimonials
Our Doctors
Brad Hylan, DMD, President
Services
View All
Dental Health
Contact
Contact Us
Request Appointment
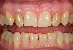
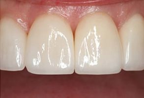
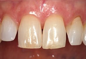
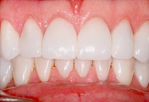
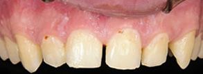
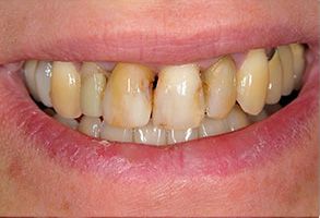
Smile Gallery
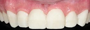
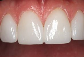
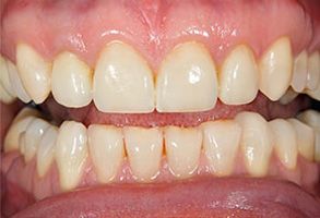
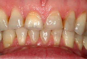
Before
After
Before
After
Before
After
Before
After
Before
After
Before
After
Before
After
Before
After
Before
After
Appointment
Contact Us